All antibodies in the DNA Damage Antibody Sampler Kit recognize their targets proteins only when modified at the indicated site.
Source / Purification
Polyclonal antibodies are produced by immunizing animals with a synthetic phosphopeptide corresponding to residues surrounding Ser428 of human ATR; Ser1524 of human BRCA1; Ser296 of human Chk1; or Thr68 of human Chk2. Antibodies are purified by protein A and peptide affinity chromatography. Monoclonal antibodies are produced by immunizing animals with a synthetic phosphopeptide corresponding to residues surrounding, Ser139 of Histone H2A.X; Ser1981 of human ATM; or Ser15 of human p53
Description
This kit provides an economical means to analyze major signaling checkpoints in response to DNA damage. The kit contains primary and secondary antibodies to perform four Western blots with each antibody.
Background
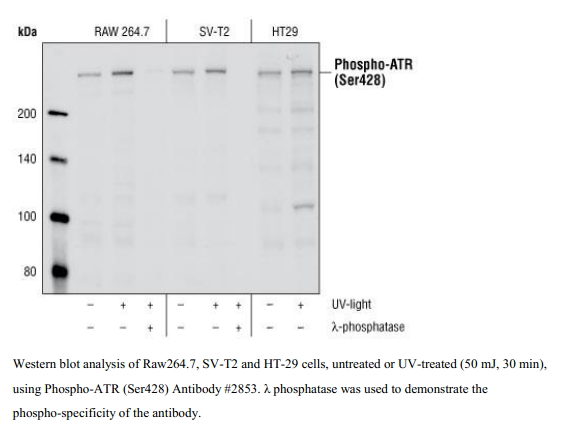
Ataxia telangiectasia mutated kinase (ATM) and ataxia telangiectasia and Rad3-related kinase (ATR) are PI3 Kinase-related kinase (PIKK) family members that phosphorylate multiple substrates on serine or threonine residues that are followed by a glutamine in response to DNA damage or replication blocks (1-3). p53 is phosphorylated by ATM, ATR and DNA-PK at Ser15. This phosphorylation impairs the ability of MDM2 to bind p53, promoting both the accumulation and activation of p53 in response to DNA damage (4,5). Chk1 and Chk2, downstream protein kinases of ATM/ATR, plays an important role in DNA damage checkpoint control, embryonic development and tumor suppression (6). Chk1 is phosphorylated at Ser280 and Ser296 following DNA damage. The amino-terminal domain of Chk2 contains a series of seven serine or threonine residues, including Thr68, each followed by glutamine (SQ or TQ motif). After DNA damage by ionizing radiation (IR), UV irradiation or hydroxyurea treatment, Thr68 and other sites in this region become phosphorylated by ATM/ATR (7-9). The breast cancer susceptibility proteins BRCA1 and BRCA2 are frequently mutated in cases of hereditary breast and ovarian cancers and have roles in multiple processes related to DNA damage, repair, cell cycle progression, transcription, ubiquitination and apoptosis. Numerous DNA-damage induced phosphorylation sites on BRCA1 have been identified, including serine 1524, and kinases activated in a cell cycle-dependent manner, including Aurora A and CDK2, can also phosphorylate BRCA1. IR, DNA and radiometric-induced DNA damage also results in rapid phosphorylation of the histone H2A family member H2A.X at Ser139 by ATM (10,11). Within minutes following DNA damage, Ser139-phosphorylated H2A.X localizes to sites of DNA damage at subnuclear foci (12).
注意事项:
Storage: Supplied in 10 mM sodium HEPES (pH 7.5), 150 mM
NaCl, 100 µg/ml BSA and 50% glycerol. Store at –20°C. Do not
aliquot the antibodies.