

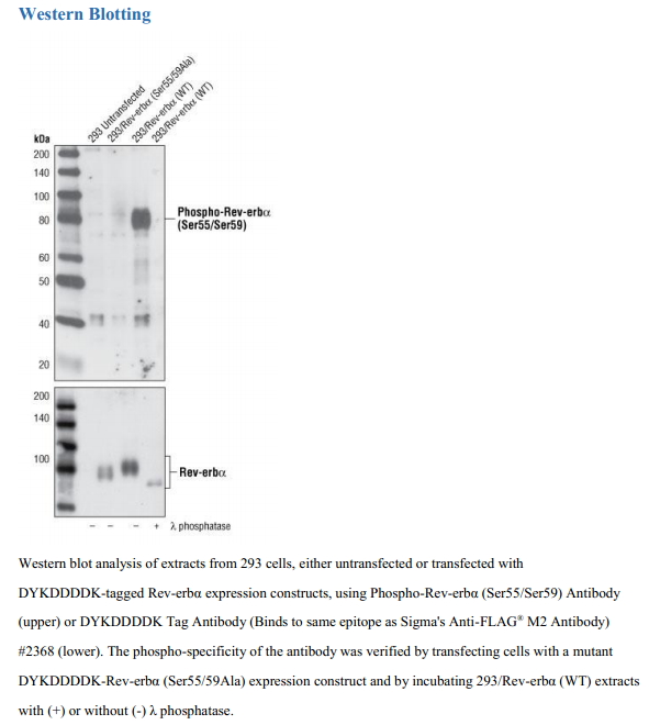
![]() |
|
||||||||||||||||||||||||||
注意事项:
For Research Use Only. Not For Use In Diagnostic Procedures.
Storage: Supplied in 10 mM sodium HEPES (pH 7.5), 150 mM
NaCl, 100 µg/ml BSA and 50% glycerol. Store at –20°C.
Do not aliquot the antibody.
说明书
参考文献
本产品可用于的实验
京ICP备15036693号-2
京公网安备11010802025653 版权所有:北京逸优科技有限公司