收藏本站
热门搜索: A3500  E1910  A1360  25200056  dmem  

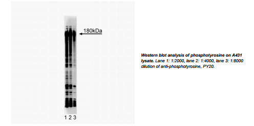
Phosphotyrosine Biotin PY20 150ug

 
包装: 150ug
运保温度: Store undiluted at -20°C .
到货周期: 登录后查看
标准价: ¥客户可见
会员价: ¥客户可见
积分: 客户可见
 
登录之后可加入购物车购买,请您 
对比 收藏

运费与支付说明:

1.含干冰类产品有运费;

2. 必须现金付款或有信用额度的会员才可以直接发货,否则需要等待现金付款信息。

描述:

Phosphorylation of specific tyrosine residues is the result of of activation or stimulation or stimulation of their respective protein tyrosine kinases. The phosphorylated proteins can be autophosphorylated kinases or certain cellular protein substrates that are regulated in oncogenesis or cell growth. Antibodies to phosphotyrosine provide one of the best tools for the detection and characterization of phosphotyrosine proteins. Technical Note: The use of milk-containing buffers may interfere with a phosphotyrosine antibody's ability to bind specific proteins of interest. Please use BSA-containing buffers for blocking and incubating purposes. This antibody is routinely tested by western blot analysis. Other applications were tested at BD Biosciences Pharmingen during antibody development only or reported in the literature.


注意事项:

1.Since applications vary, each investigator should titrate the reagent to obtain optimal results.

2.Caution: Sodium azide yields highly toxic hydrazoic acid under acidic conditions. Dilute azide compounds in running water before discarding to avoid accumulation of potentially explosive deposits in plumbing. .
3.Store undiluted at -20°C .


相关图片

本产品可用于的实验

购此产品的人还购买了
最近浏览产品

京ICP备15036693号-2    京公网安备11010802025653    版权所有:北京逸优科技有限公司       0.23

 纠 错