收藏本站
热门搜索: A3500  E1910  A1360  25200056  dmem  

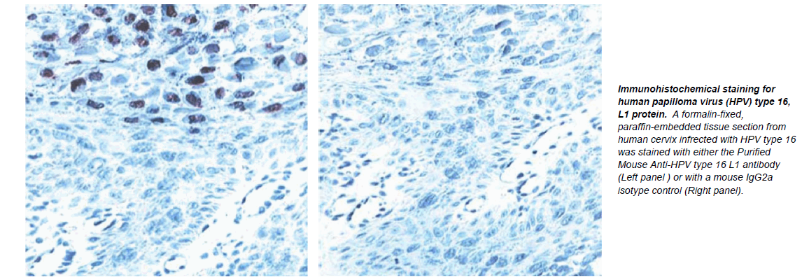
HPV-16 L1 Pure CAMVIR-1 100ug

  • 产品编号:BD-554171      品牌:BD-Pharmingen       原厂货号:554171
  • 产品分类:抗体 > 一抗 > 蛋白特异性一抗
  • 应用分类:
 
包装: 100ug
运保温度: Store undiluted at 4°C.
到货周期: 登录后查看
标准价: ¥客户可见
会员价: ¥客户可见
积分: 客户可见
 
登录之后可加入购物车购买,请您 
对比 收藏

运费与支付说明:

1.含干冰类产品有运费;

2. 必须现金付款或有信用额度的会员才可以直接发货,否则需要等待现金付款信息。

描述:

More than 60 different types of human papilloma viruses (HPVs) have been isolated. The human papilloma viruses encode three late proteins,
which are produced only in terminally differentiating keratinocytes, two of which (the L1 and L2 proteins) are structural components of the
virion. Virus-like particles can be assembled by over-expressing L1 and L2 in vitro, demonstrating that L1 and L2 are necessary and sufficient
components of the HPV capsomeres. HPV-16 has been reported to migrate at a reduced molecular weight of ~57 kD by SDS-PAGE. The
CAMVIR-1 antibody reacts with the L1 protein of HPV-16 and may also cross-react with other HPV types, such as HPV-33.


注意事项:

1.Since applications vary, each investigator should titrate the reagent to obtain optimal results.
2.Caution: Sodium azide yields highly toxic hydrazoic acid under acidic conditions. Dilute azide compounds in running water before
discarding to avoid accumulation of potentially explosive deposits in plumbing.
3.Store undiluted at 4°C.


相关图片

本产品可用于的实验

购此产品的人还购买了
最近浏览产品

京ICP备15036693号-2    京公网安备11010802025653    版权所有:北京逸优科技有限公司       1.97

 纠 错